اگر دندان از بین رفته دارید و یا مدتی است که یک یا چند دندان خود را از دست دادهاید بهتر است عواقب دیر انجام دادن ایمپلنت دندان را بدانید و با انجام به موقع ایمپلنت از آسیب دیدن استخوان فک و دندانهای مجاور جلوگیری نمائید. عدم وجود دندان میتواند عوارضی همچون سختی در جویدن غذا، بد شکل شدن ظاهر دندانها و کج شدن آنها و تغییر ظاهر چانه و صورت را به همراه خواهد داشت. همچنین خالی بودن جای دندان در دهان موجب میشود تا در زمان صحبت کردن و خندیدن اعتماد به نفس کافی نداشته باشید و از اینکه در جمع حاضر شوید احساس خجالت کنید. چنین افرادی معمولا از جمع کمتر صحبت میکنند و یا از حضور در مهمانیها و دورهمیهای دوستانه اجتناب میکنند. همچنین عوارض دیگری نیز برای فرد ایجاد خواهد کرد که در بلند مدت اثرات جبران ناپذیری برای فرد به همراه خواهد داشت و با افزایش سن مشکلات بیشتری برای وی بوجود خواهد آورد. ما در این مقاله قصد دارید درباره زمان مناسب برای انجام دادن جراحی ایمپلنت دندان و عواقب دیر انجام دادن آن صحبت کنیم.
دیر انجام دادن ایمپلنت دندان چه عواقبی دارد؟
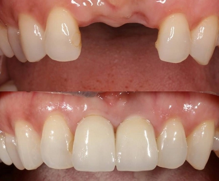
هنگامی که دندانی خراب میشود و امکان ترمیم آن وجود نداشته باشد معمولا توسط پزشک کشیده میشود. اما اگر جایگزینی برای دندان از دست رفته انتخاب نشود مشکلاتی برای سایر دندانها و استخوان فک بوجود خواهد آمد که ممکن است برای فرد ناخوشایند باشد و یا در آینده عوارضی برای فرد ایجاد کند. از جمله عواقب دیر انجام دادن ایمپلنت دندان میتوان به موارد زیر اشاره نمود:
- جابجا شدن دندانهای مجاور: زمانی که یک یا چند دندان را از دست میدهید فضای خالی دندان میتواند موجب شود تا دندانهای مجاور به حرکت کنند و یا کج شوند. وقتی دندانی کشیده میشود، دندانهای کناری آن دیگر پشتیبانی ندارند و به همین دلیل ریشه آنها دیگر نمیتواند مانند قبل در جای خود ثابت بماند و ممکن است پس از مدتی لق شود و احتمال افتادن آن نیز وجود خواهد داشت. به همین علت متخصص ایمپلنت در تهران توصیه میکند پس از اینکه دندانی کشیده شد هر چه زودتر به فکر جایگزینی برای آن باشید تا مشکلی برای سایر دندانها ایجاد نشود.
- احتمال بروز عفونت در لثه: هنگامی که دندان کشیده میشود لثه به طور مستقیم در معرض مواد غذایی قرار میگیرد و احتمال زخم شدن یا خراشیده شدن آن وجود دارد و یا ممکن است به دلیل تجمع باکتری بر روی لثه و در فضای خالی میان دندانها مشکلاتی از قبیل عفونت لثه برای فرد مشکلاتی را ایجاد نماید. عفونی شدن لثه میتواند باعث پوسیده شدن و آسیب دیدن سایر دندانها شود.
- به هم ریختن نظم دندانها: در صورت تغییر محل دندانها به دلیل کشیده شدن یک یا چند دندان نظم دندانها به هم میریزد و ممکن است دندانهای عقب به سمت جلو حرکت کنند و برای دندانهای جلو نیز مشکلاتی را در زمان جویدن یا گاز زدن غذا ایجاد کنند. همچنین به هم ریختن نظم دندانها موجب بد شکل شدن دندانها نیز خواهد شد و فرد از این بابت احساس ناخوشایندی خواهد داشت. فشاری که دندانهای عقب به دندانهای جلو وارد میکند موجب از بین رفتن ریشه و آسیب دیدن دندانهای جلو میشود. هنگامی که دندانها تحت فشار باشند با کوچکترین حرکتی ممکن است بشکنند و یا ترک بخورند.
- تغییر حالت صورت و چانه: اگر تعداد دندانهای کشیده شده زیاد باشند به مرور زمان تغییرات شدیدی در چهره فرد ایجاد میکنند. حالت لبها و چانه تغییر میکند و پوست اطراف دهان سریعتر از حالت طبیعی چروک میشود و سن فرد از آنچه که هست پیرتر به نظر خواهد آمد.
مواردی که به آنها اشاره شد مسائلی است که با کشیده شدن دندان پس از گذشت چند سال قابل مشاهده است، اما عوارضی نیز وجود دارد که ممکن است کمتر کسی متوجه آن باشد و یا به آن توجه کند. این عوارض مشکلاتی را در بلند مدت برای فرد ایجاد خواهد کرد که در ادامه به آنها اشاره خواهیم نمود:
- تحلیل رفتن استخوان فک: وجود ریشه درون استخوان موجب میشود تا تراکم استخوان در حد طبیعی باقی بماند و زمانی که دندان کشیده میشود، پس از گذشت مدتی استخوان متراکم میشود و تحلیل میرود. ریشه دندان سبب تقویت استخوان اطراف دندان میشود و با کشیده شدن دندان پهنای استخوان کاهش مییابد. این اتفاق ممکن است از اولین سالی که از کشیده شدن دندان گذشته است رخ دهد و با گذشت زمان استخوان متراکمتر خواهد شد. کاهش پهنای استخوان و تحلیل رفتن آن عوارضی را برای فرد به همراه خواهد داشت که عبارتند از:
- تغییر چهره و چروک شدن صورت: با تحلیل رفتن استخوان فک لبها به سمت لثهها جمع میشوند و پوست صورت در قسمت چانه و دهان چروک میشود. گونهها نیز بیشتر از قبل نمایان میشوند و صورت فرد بسیار پیرتر از سن حقیقی فرد به نظر خواهد رسید. دندانها از استخوان فک حمایت میکنند و استخوان فک نیز ساختار چهره را زیبا نگه میدارد، بنابراین از دست دادن دندانها در نهایت بر روی چهره شما تاثیر منفی خواهد داشت.
- عدم موفقیت کاشت ایمپلنت: با تحلیل رفتن استخوان فک و کاهش پهنا و ارتفاع استخوان در قسمت دندان از دست رفته، امکان کاشت ایمپلنت وجود نخواهد داشت. جایگزین کردن دندان در قسمتی که استخوان کافی برای نگه داشتن پایه ایمپلنت را نداشته باشد بسیار سخت خواهد بود، اما در بهترین دندانپزشکی در تهران با انجام عمل پیوند استخوان دندان، در قسمت مورد نظر تراکم کافی برای قرار دادن دندان ایمپلنت فراهم میگردد و قسمت تحلیل رفته در استخوان فک به مقدار مورد نیاز تقویت میشود تا به پهنا و ارتفاع استانداردی برسد که بتوان ایمپلنت را بر روی آن قرار داد.
- دندان درد و سر درد مزمن: تحلیل رفتن استخوان و حرکت دندانها به سمت یکدیگر موجب میشود تا دندانها از جای خود خارج شوند و بر روی یکدیگر فشار وارد کنند. معمولا در نواحی که دندان کشیده شده است به دلیل وجود فضای خالی، ریشه دندانها به سمت خالی موجود در استخوان فک حرکت میکنند و گاهی ممکن است دندان مجاور به سمت فضای خالی موجود کج شود و ریشه آن به ریشه دندان مجاور فشار وارد کند. در این حالت فرد همیشه درد مزمن را در دندانهای خود حس میکند و برخی از افراد نیز دچار سر درد میشوند. سر دردهای مزمن در افرادی که میگرن دارند موجب بیشتر خواهد بود و ممکن است تا ساعتها و گاها تا روزها ادامه داشته باشد. در برخی از افراد نیز این فشار موجود بر روی دندان موجب گردن درد یا کمر درد میشود.
- ایجاد مشکل در زمان غذا خوردن: از دست دادن دندان و جایگزین نکردن آنها علاوه بر اینکه برای لثه و استخوان فک مشکلاتی ایجاد میکند، اثرات نامطلوبی بر سلامت فرد نیز خواهد داشت. فردی که دندانهای زیادی را از دست داده است قادر نخواهد بود به راحتی غذا را بجود و به همین دلیل بدن وی با کمبود فیبر و انواع ویتامین مواجه میشود. منابع غنی فیبر و ویتامین میوه و سبزیجات هستند و خوردن آنها برای فردی که دندان کافی ندارد دشوار خواهد بود. بنابراین مشکلات و بیماریهای متعددی بر اثر کمبود مواد مورد نیاز بدن برای فرد ایجاد خواهد شد.
- از دست رفتن اعتماد به نفس و مشکلات روحی و روانی: فردی که دندانهای خود را از دست داده است و یا به علت عدم وجود دندان کافی ظاهر صورت وی تغییر کرده است از حضور در جمع شرم خواهد داشت و یا از صحبت کردن در حضور افراد دیگر اجتناب میکند. بدین ترتیب روحیه فرد ضعیف میشود و ممکن است مشکلات روحی و روانی برای وی بوجود آید. در این حالت زندگی اجتماعی و کاری فرد تحت تاثیر قرار میگیرد و وی ترجیح میدهد کمتر در میان جمع حضور داشته باشد.
برای اطلاع از هزینه ایمپلنت دندان لطفا کلیک کنید
علائم تحلیل رفتن استخوان فک
تحلیل رفتن استخوان فک و لثه علائم متعددی دارد که در صورت مشاهده هر یک از این علائم بهتر است زودتر به دندانپزشکی در تهران مراجعه نمائید و اقدامات لازم برای انجام عمل ایمپلنت را انجام دهید. علائم تحلیل رفتن استخوان فک عبارتند از:
- تغییر رنگ لثه: اگر دندانی کشیده شده دارید و در آن قسمت شاهد تغییر رنگ لثه بودید به این معنی است که لثه در حال تحلیل رفتن است. تغییر رنگ ممکن است به صورت قرمز تیره یا صورتی خیلی روشن باشد. در هر دو صورت باید بدانید که لثه شما و استخوان فک به دلیل عدم وجود ریشه دندان در حال تحلیل رفتن است.
- تورم و احساس درد در لثه: از دیگر علائم تحلیل رفتن لثه حساس شدن و ملتهب شدن لثه در قسمتی است که دندان از دست رفته است.
- خونریزی لثه: هنگامی که دندانی کشیده میشود لثه به طور مستقیم در معرض مواد غذایی قرار میگیرد و ممکن است حساس شود. هنگامی که مشاهده نمودید که لثه شما خیلی حساس شده است و سریع خونریزی میکند باید بدانید که استخوان فک و لثه در حال تحلیل رفتن است و باید هر چه سریعتر به دنبال راهی برای جایگزین نمودن دندان باشید.
- تنفس بد بو: از دیگر نشانههای تحلیل رفتن استخوان فک و لثه استشمام بوی بد از دهان است.
- دندان درد و سر درد مزمن: در برخی از افراد درد بدون علت فک و صورت و سر دردهای مزمن و طولانی میتواند به دلیل تحلیل رفتن استخوان فک باشد. این موضوع به دلیل کاهش تراکم استخوان و وارد شدن فشار به سایر دندانهای مجاور است.
- حساس شدن لثه: با تحلیل رفتن استخوان فک و لثه، استخوان در قسمتی که دندان کشیده شده است تراکم کافی نخواهد داشت و ممکن است فرد در زمان غذا خوردن و جویدن احساس درد داشته باشد و یا لثه در برابر سرما و گرما یا فشار حساس باشد و مشکلاتی را برای فرد ایجاد کند. همچنین لق شدن دندانهای مجاور و عفونت کردن لثه اطراف آنها نیز از دیگر علائم تحلیل رفتن استخوان فک است.
بهترین زمان برای انجام دادن ایمپلنت دندان
کاشت ایمپلنت در هر سنی مناسب است. هر زمان که شما دندان خود را به هر دلیلی کشیدید یا از دست دادید باید به فکر جایگزینی برای دندان از دست رفته خود باشید و این مهم نیست که شما چند سال سن دارید. کاشت ایمپلنت دندانی موجب میشود تا دندانهای شما ظاهر طبیعی خود را حفظ کنند و موفق بودن آن هیچ ارتباطی با سن فرد نخواهد داشت. ایمپلنت در هر سنی که انجام شود برای بالا بردن اعتماد به نفس فرد بسیار موثر است و کیفیت زندگی فرد را بهبود میبخشد.
معمولا افراد در سن میانسالی برای ترمیم دندانهای خود و یا خارج کردن دندانهای آسیب دیده به دندانپزشکی در تهران مراجعه میکنند و برای اینکه بتوانند راحتتر غذا بخورند و ساختار صورت خود را حفظ کنند به دنبال راهی برای جایگزین کردن دندانهای از دست رفته خود هستند. جایگزینهایی که برای دندان استفاده میشود انواع مختلفی دارد که یکی از آنها استفاده از پروتز متحرک یا همان دندان مصنوعی است. اما مشکل پروتز متحرک در این است که به دلیل ثابت نبودن درون دهان ممکن است در زمان غذا خوردن و یا صحبت کردن برای فرد مشکلاتی را ایجاد نماید، علاوه بر این پروتز متحرک از تحلیل رفتن استخوان فک جلوگیری نمیکند. همچنین نگهداری و مراقبت از دندان مصنوعی ممکن است برای افراد با سنین بالا سخت باشد و در صورت عدم رعایت مسائل بهداشتی، موجب بروز بیماری و عفونت لثه میشود.
به همین دلیل متخصص ایمپلنت در تهران به تمامی افراد جوان و کهنسال توصیه میکند به جای استفاده از پروتز متحرک و یا ثابت از ایمپلنت استفاده کنند. مراقبت از ایمپلنت بسیار ساده است و همانند دندانهای طبیعی تنها با استفاده از مسواک و نخ دندان تمیز میشود. کاشت ایمپلنت حتی در سنین بسیار بالا نیز با موفقیت انجام میشود و افراد میانسال و سالمند نباید در این مورد نگران باشند.
برای رزرو نوبت به سایت دندانپزشکی آرامش به نشانی https://arameshdental.com/ مراجعه نمائید.
کاشت ایمپلنت در سنین جوانی با سنین بالاتر چه تفاوتهایی دارد؟
در بهترین دندانپزشکی در تهران برای کاشت ایمپلنت دندان با توجه به سن فرد اقدامات اولیهای انجام میشود و این موضوع در مورد افراد سالمند و افرادی با سنین بالاتر با دقت بیشتری انجام میشود. معمولا پیش از کاشت ایمپلنت در سنین بالا مواردی از قبیل سلامت دهان و دندان فرد، سلامت و تراکم استخوان فک، سلامت عمومی و جسمی فرد متقاضی و داروهایی که وی مصرف میکند به دقت بررسی میشوند. به طور کلی انجام ایمپلنت و بهبودی در افراد با سنین بالاتر به زمان بیشتری نیاز خواهد داشت و ممکن است این زمان در افراد جوان بسیار کوتاهتر باشد. در سنین میانسالی معمولا برای اینکه پایه ایمپلنت با استخوان ادغام شود 4 ماه زمان نیاز خواهد بود، اما این مدت برای افراد جوان کمتر از 3 ماه است.
افراد میان سال ممکن است پس از اتمام مراحل کاشت ایمپلنت در زمان غذا خوردن کمی درد داشته باشند و این موضوع با مصرف مسکن حل میشود. به همین دلیل بهتر است افراد پس از انجام دادن ایمپلنت تا مدتی از غذاهای نرم استفاده کنند تا فشاری بر روی دندان و استخوان وارد نشود.
در بهترین دندانپزشکی در تهران کاشت ایمپلنت برای سالمندانی که پوکی استخوان دارند با استفاده از روشهای دیگری انجام میشود تا درصد موفقیت عمل کاشت برای فرد بیشتر باشد. استفاده از تکنیکهای مدرن در کاشت ایمپلنت موجب میشود تا درصد موفقیت ایمپلنت در سنین سالمندی نیز بالاتر باشد.
چه چیز باعث میشود فرد برای انجام دادن ایمپلنت دیر اقدام کند؟
بسیاری از افرادی که به دندانپزشکی آرامش مراجعه مینمایند از عواقب دیر انجام دادن ایمپلنت دندان آگاه نیستند و به دلایل مختلف برای انجام این عمل دیر اقدام میکنند و یا اصلا به فکر جایگزینی برای دندانهای از دست رفته خود نیستند. مهمترین عواملی که موجب میشود فرد به موقع برای انجام ایمپلنت اقدام نکند ممکن است یکی از موارد زیر باشد:
- سن: از جمله عواملی که موجب میشود تا فرد برای کاشت ایمپلنت دیر اقدام کند و یا اصلا از انجام آن صرف نظر نماید، سن است. بسیاری از افراد بر این باورند که ایمپلنت در سنین بالا امکان پذیر نیست و ممکن است عوارضی برای فرد به همراه داشته باشد. اما این باور صحیح نیست، عمل ایمپلنت برای افراد جوان و میانسال تفاوتی ندارد و درصد موفقیت آن برای هر دو یکسان خواهد بود. اما هنوز هم هستند افرادی که از این موضوع اطلاعی ندارند و به همین علت برای کاشت ایمپلنت اقدام نمیکنند و یا خیلی دیر به دندانپزشکی در تهران مراجعه میکنند.
برخی از افراد میانسال نیز به همین علت ترجیح میدهند از دندان مصنوعی استفاده کنند. اما خبر نوید بخش این است که سالمندانی که مدتهاست که از دندان مصنوعی استفاده کردهاند نیز میتوانند ایمپلنت را جایگزین دندان مصنوعی کنند و از داشتن دندانهایی کاملا شبیه به دندانهای طبیعی لذت ببرند. در سنین بالاتر اقدامات لازم برای تامین فضای کافی برای کاشت ایمپلنت انجام میشود و دیگر هیچ مانعی برای این روش وجود نخواهد داشت. در افرادی که به دلیل پوکی استخوان شرایط حساسی دارند نیز از روشهای دیگری برای ایمپلنت استفاده میشود تا درصد موفقیت ایمپلنت را به 100 میرساند.
- عدم اقدام برای کاشت ایمپلنت برای مدتی طولانی: متخصص ایمپلنت در تهران به مراجعه کنندگان خود توصیه میکند که بلافاصله پس از کشیدن دندان برای کاشت ایمپلنت اقدام کنند. اما برخی از افراد پس از کشیدن دندان به دنبال جایگزینی برای دندان از دست رفته خود نیستند و پس از مدتی این موضوع را به طور کلی فراموش میکنند. اما پس از گذشت چند سال استخوان فک تحلیل رفته و ممکن است مشکلاتی را برای سایر دندانها و لثه ایجاد کند. اما باز هم جای نگرانی نیست. زیرا حتی در صورتی که استخوان تحلیل رفته باشد نیز میتوان از روش پیوند استخوان برای ایجاد فضای کافی برای قرار دادن ایمپلنت کمک گرفت. در این روش پزشک به اندازه مورد نیاز از بافت مصنوعی یا طبیعی برای تقویت استخوان استفاده میکند تا پهنای استخوان فک برای شروع عمل کاشت ایمپلنت کافی باشد. در این روش عمل کاشت حتی برای افراد بالاتر از 80 سال نیز با موفقیت انجام میشود و هیچ عارضهای برای فرد ایجاد نمیکند.
- مبتلا بودن به نوعی بیماری خاص: ابتلا به برخی از بیماریها مانع از انجام ایمپلنت دندان میشود. به عنوان مثال افرادی که به بیماریهای قلبی عروقی، دیابت، ابتلا به انواع سرطان و … مبتلا هستند نمیتوانند ایمپلنت انجام دهند. به همین علت بهترین راه جایگزین کردن دندان برای این افراد استفاده از دندان مصنوعی یا پل دندانی است. اما پس از گذشت چند سال و بهبودی کامل میتوانند با مشورت متخصص دندانپزشک برای کاشت ایمپلنت اقدام نمایند. همچنین افراد سیگاری نیز پس از ترک سیگار میتوانند ایمپلنت دندان انجام دهند. افرادی که به دلیل بیماری از دندان مصنوعی استفاده میکردند نیز میتوانند پس از بهبودی ایمپلنت را جایگزین پروتز کنند.
چه افرادی نمیتوانند ایمپلنت انجام دهند؟
درست است که برای ایمپلنت دندان در دندانپزشکی آرامش محدودیت سنی وجود ندارد، اما گاهی در برخی از شرایط خاص امکان ایمپلنت هرگز وجود نخواهد داشت و پزشک متخصص روشهای جایگزین دیگری را به فرد پیشنهاد میکند. از جمله عواملی که موجب میشود درصد موفقیت ایمپلنت پائین بیاید عبارتند از:
- استخوان فک بیش از حد تحلیل رفته است: مهمترین فاکتور در زمان انجام ایمپلنت دندان وجود استخوان کافی با تراکم مناسب است. زمانی که فردی سالهای بسیاری را بدون دندان سپری کرده است و استخوان بیش از حد تحلیل رفته باشد، دیگر استخوان تراکم کافی برای پذیرش ایمپلنت را نخواهد داشت و پیوند استخوان نیز در این شرایط موثر نخواهد بود. معمولا پزشکان برای چنین افرادی استفاده از دندان مصنوعی یا پروتز ثابت را پیشنهاد میکنند. عمل ایمپلنت برای این افراد موفقیت آمیز نخواهد بود.
- افرادی که بیماری مزمن دارند: ایمپلنت برای سنین میانسالی و سالمندی بهترین جایگزین برای دندانهای از دست رفته است، اما به این شرط که فرد به بیماری خاصی مبتلا نباشد و سیستم ایمنی قوی داشته باشد. معمولا در سنین بالا روند بهبودی بسیار کند خواهد بود و به همین دلیل پس از انجام ایمپلنت فرد باید بیشتر از قبل به سلامت دهان و دندان خود اهمیت بدهد تا مشکلی برای وی بوجود نیاید. همچنین وجود برخی از بیماریهای مزمن مانع از انجام این عمل خواهند بود و پزشکان تشخیص میدهند که فرد بهتر است روشهای دیگری را برای جایگزین نمودن دندانهای خود انتخاب کند. همچنین به دلیل طولانی بودن روند بهبودی پس از عمل ایمپلنت، توصیه میشود برای افراد بالاتر از 80 سال از روشهای دیگری استفاده شود تا فرد آسیب نبیند.
برای کسب اطلاعات بیشتر با شماره تلفنهای درج شده در سایت تماس حاصل فرمائید.

